Aula de Microscopia com estudantes do 6⁰ Ano EF
Descobrindo o Invisível: Aulas de Microscopia com o 6⁰ Ano
Na aula de Ciências, a turma do 6⁰ ano do Colégio Evangélico Augusto Pestana de Ijuí, sob a orientação da professora Carla dos Santos, tiveram uma experiência inesquecível no laboratório da escola. Durante a aula de microscopia, os estudantes tiveram a oportunidade de explorar o fascinante mundo das células invisíveis a olho nu.
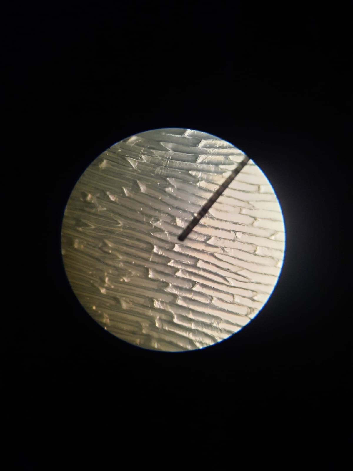
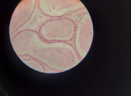
Com o auxílio dos microscópios, os alunos observaram lâminas preparadas com amostras de tecidos. A curiosidade e o entusiasmo foram significativos, enquanto eles descobriam estruturas celulares e aprendiam sobre a importância desses pequenos elementos para a vida.
A professora Carla, sempre atenciosa, explicou os detalhes técnicos do manuseio dos microscópios e incentivou cada aluno a fazer suas próprias observações e anotações. A atividade não apenas aproximou os alunos da ciência, mas também despertou neles um novo olhar sobre a complexidade e beleza do mundo natural.
Foi uma aula enriquecedora, que certamente deixou uma marca positiva no aprendizado e no interesse dos alunos por Ciências.
Galerias de fotos
Veja mais
9º ano | Desafio da Cartografia
9º ano | Desafio da Cartografia
Estudantes vivenciam experiência de liderança e democracia
Estudantes vivenciam experiência de liderança e democracia
2º ano explora o raciocínio lógico com o jogo ‘Nunca 10’
2º ano explora o raciocínio lógico com o jogo ‘Nunca 10’
CEAP realiza saída de estudos ao Parque Aquático Good Fish com alunos do 8º ano
CEAP realiza saída de estudos ao Parque Aquático Good Fish c...
Acolhida aos pais de estudantes de 1º ano do EF em 2026
Acolhida aos pais de estudantes de 1º ano do EF em 2026
